Porcelain Veneers.
Whether you’re looking for a subtle or dramatic change in the appearance of your smile, porcelain veneers offer beautiful long-term results.
Our veneers are made in the best NZ laboratories using a thin layer of ceramic porcelain that is glazed and stained to colour-match your existing teeth, or provide your preferred shade. This material is very strong and is custom made to fit your teeth perfectly.
What is involved in the veneer process?
At the initial consultation we will discuss your smile goals, take photographs and evaluate the symmetry of your smile. We then take impressions and/or digital scans and make moulds of the teeth and have a customised mock-up or trial smile made by our artisan dental ceramist.
At the next appointment we are able to do a test run to see how the mock-up looks and feels with your new smile.
To prepare the teeth for veneers we carefully plan minimal reduction of your teeth. No Turkey teeth here, we don’t shave teeth down to little stumps.
Teeth once prepped
Approximately two weeks after that the veneers are tried in and assessed for fit and aesthetics. We then cement the veneers in place. We check the phonetics, aesthetics, and overall feel.
About one month later we follow-up. Tissue healing is now complete and final aesthetics are assessed. Minimal re-contouring can be done if necessary. We will take the final photos at this stage.
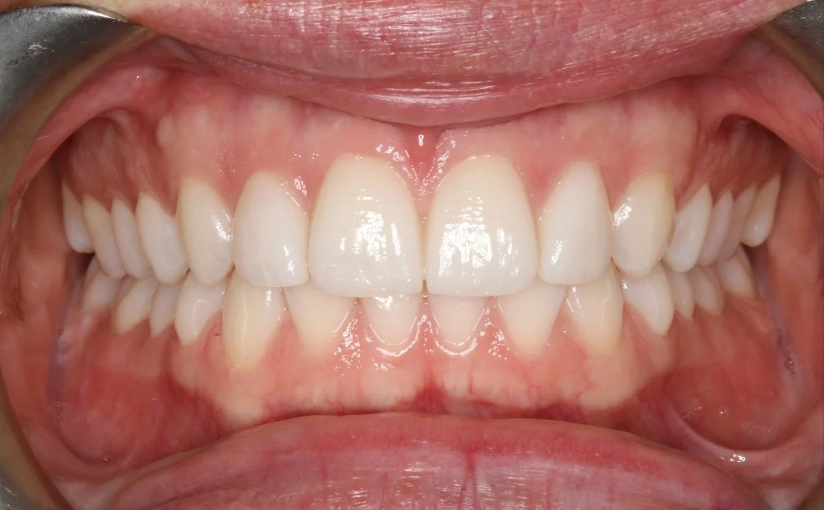
A finished case by Dr Tony Dey
Or, fill in the form below, and we’ll get in touch.

