OPG
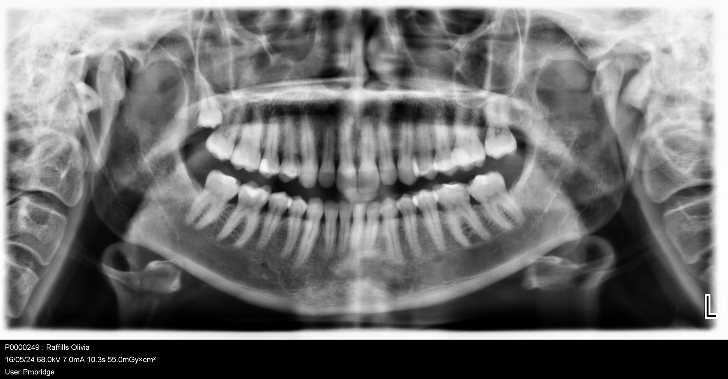
An OPG, also known as a panoramic X-ray, is a dental X-ray that offers a panoramic view of the teeth, mouth, and jaws.
At Wānaka Dental, we continually invest in new equipment to ensure we provide the best possible treatment for our patients.
We're excited to announce that our OPG (Orthopantomogram) machine is now up and running, so we no longer need to refer our patients elsewhere.
You might be wondering, what is an OPG?
An OPG, also known as a panoramic X-ray, is a dental X-ray that offers a panoramic view of the teeth, mouth, and jaws. This comfortable and non-invasive test involves the patient biting down on a small piece of plastic while the OPG machine rotates around their head to capture a two-dimensional image from ear to ear. This valuable diagnostic tool helps dentists identify various dental and oral health issues.

